Начало / Клинични случаи / Имплантология и протезиране
челюст

Рехабилитация на горна челюст

Чрез метало-керамичен мост с Noritake порцелан и моделно лята фрез протеза. Моделно лятите ставни протези осигуряват стабилност, естетика и дълготрайност, като не изискват лепило или куки. Те се закрепват чрез малки стави и предлагат отлична функционалност – не пречат на храненето и не блокират вкусовите рецептори. Поддръжката е лесна, като само уплътненията на ставите се подменят на всеки 3-5 години. Протезата се адаптира към промените в костите и лигавицата с помощта на ребазации, осигурявайки удобство и дългосрочен комфорт

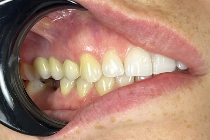
Възстановяване на липсващи зъби с импланти и корони

Възстановихме липсващите зъби на горна челюст чрез 2 импланта, поставяйки корони върху тях и подменихме коронката на съседния зъб за подобряване на естетиката. Процесът от поставянето на имплантите до тяхното финално натоварване отне 2 месеца. За долния дъвкателен зъб също бе поставен имплант, като в момента се изчаква неговата интеграция.

Зъбни протези с допълнителна задръжка

При пълно обеззъбяване, особено на долна челюст, често се срещат проблеми със задържането на протезите, които могат да се решат чрез импланти със стави. В този случай, благодарение на останалите стабилни кучешки зъби на пациентката, поставихме стави за осигуряване на по-добра задръжка на протезата. Резултатът е отлична стабилност на протезата без използване на лепило, комфорт при хранене и възвърнато самочувствие на пациентката.