-
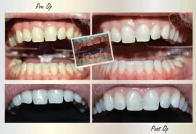
Подмяна на стари обтурации във фронталната област
-
Професионално кабинетно избелване на зъби
-
Цвят А4 до цвят А2….
-
Предварително избелване на зъбите, подмяна на стара обтурация и оформяне на фронталните зъби по желание на пациентката.
-
Пациентка с бели зъби с цвят близък до А1 – един от най-белите цветове в стоматологичните разцветки. Непосредствено след избелване се цвета на зъбите е по-бял от цвят А1