+359 88 783 26 48
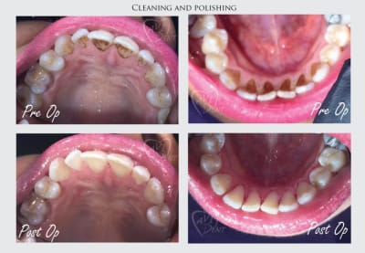
Почистване и полиране с Aqua Care
Този сайт използва бисквитки (cookies). За повече информация, моля да се запознаете се нашaтa Политика за поверителност.
Необходими
Необходимите бисквитки помагат за функционирането на уебсайта като активират основни функции като достъп до защитени зони на уебсайта, например. Уебсайтът не може да функционира правилно без тези бисквитки.
Предпочитания
Бисквитките за предпочитания позволяват на уебсайта да запомня информация, която променя начина, по който уебсайтът се държи или изглежда, като например предпочитания от вас език или региона, в който се намирате.
Статистика
Бисквитки за статистика помагат на собствениците на уебсайтове да разберат как посетителите взаимодействат с тях, като събират и отчитат информация анонимно.
Маркетинг
Бисквитки за маркетинг цели се използват за проследяване на посетителите в различни уебсайтове. Целта е да се показват реклами, които са релевантни и ангажиращи за конкретния потребител, като по този начин те стават по-ценни за издателите и рекламодателите от трети страни.
Бисквитки от външни услуги
На различни страници от нашия уебсайт можете да срещнете съдържание собственост на трети страни, като YouTube или Google Maps. Информираме Ви, че ние нямаме контрол над бисквитките използвани от съответните трети страни. Повече информация за тях можете да откриете на съответните сайтове.
Готово